Clippers Syndrome - Https Www Thieme Connect De Products Ejournals Pdf 10 1055 A 0874 2106 Pdf - It affects both genders with possibly a minor male predominance.

Clippers Syndrome - Https Www Thieme Connect De Products Ejournals Pdf 10 1055 A 0874 2106 Pdf - It affects both genders with possibly a minor male predominance.. Two new cases and literature. Diagnosis and management in pitt‐hopkins syndrome: The appearance of clippers on mri is fairly unique, characterized by multiple punctate, patchy and linear regions of contrast enhancement relatively confined to the pons 1 clippers syndrome. Whether clippers represents an independent, actual new disorder or a syndrome that includes aetiologically heterogeneous diseases and/or their prestages remains a debated and not finally. Clippers syndrome (chronic lymphocytic inflammation with pontine perivascular enhancement responsive to steroids) is a recently described rare disease affecting the central nervous system.

A clinically heterogeneous entity distinct from brody disease: Current concepts on pathogenesis and prevention brody syndrome: Metaanalysis for the evaluation of risk factors for carpal tunnel syndrome (cts) part ii. In addition, we also present a unique case of newly described autoimmune entity clippers syndrome. The appearance of clippers on mri is fairly unique, characterized by multiple punctate, patchy and linear regions of contrast enhancement relatively confined to the pons 1 clippers syndrome.

Chronic Lymphocytic Inflammation With Pontine Perivascular Enhancement Responsive To Steroids With Cranial And Caudal Extension
Chronic Lymphocytic Inflammation With Pontine Perivascular Enhancement Responsive To Steroids With Cranial And Caudal Extension from static-01.hindawi.com
Kamışlı ö, tecellioğlu m, erbay mf, kamışlı s, özcan c. Diagnosis and management in pitt‐hopkins syndrome: It affects both genders with possibly a minor male predominance. Dopaminergic agents in restless legs syndrome and dyskinesias while awake and periodic movements in sleep in restless legs syndrome: Becker p.m., jamieson a.o., brown w.d. Clippers syndrome, brainstem, immunosuppressive therapy, corticosteroids. Clippers syndrome (chronic lymphocytic inflammation with pontine perivascular enhancement responsive to steroids) is a recently described rare disease affecting the central nervous system. Current concepts on pathogenesis and prevention brody syndrome:

Kamışlı ö, tecellioğlu m, erbay mf, kamışlı s, özcan c.

Klippel trenaunay syndrome in association with sturge weber syndrome about one case. A clinically heterogeneous entity distinct from brody disease: Becker p.m., jamieson a.o., brown w.d. Clippers syndrome, brainstem, immunosuppressive therapy, corticosteroids. In addition, we also present a unique case of newly described autoimmune entity clippers syndrome. The appearance of clippers on mri is fairly unique, characterized by multiple punctate, patchy and linear regions of contrast enhancement relatively confined to the pons 1 clippers syndrome. Two new cases and literature. Our case is unique in that this is the first case which demonstrates involvement of the. Clippers syndrome can occur at any age, ranging from 15 to 85 years with a mean age around the fifth decade 2. Whether clippers represents an independent, actual new disorder or a syndrome that includes aetiologically heterogeneous diseases and/or their prestages remains a debated and not finally. Current concepts on pathogenesis and prevention brody syndrome: Diagnosis and management in pitt‐hopkins syndrome: Kamışlı ö, tecellioğlu m, erbay mf, kamışlı s, özcan c.

Whether clippers represents an independent, actual new disorder or a syndrome that includes aetiologically heterogeneous diseases and/or their prestages remains a debated and not finally. Metaanalysis for the evaluation of risk factors for carpal tunnel syndrome (cts) part ii. Current concepts on pathogenesis and prevention brody syndrome: Kamışlı ö, tecellioğlu m, erbay mf, kamışlı s, özcan c. Diagnosis and management in pitt‐hopkins syndrome:

Widespread Inflammation In Clippers Syndrome Indicated By Autopsy And Ultra High Field 7t Mri Neurology Neuroimmunology Neuroinflammation
Widespread Inflammation In Clippers Syndrome Indicated By Autopsy And Ultra High Field 7t Mri Neurology Neuroimmunology Neuroinflammation from nn.neurology.org
Metaanalysis for the evaluation of risk factors for carpal tunnel syndrome (cts) part ii. Current concepts on pathogenesis and prevention brody syndrome: Clippers syndrome, brainstem, immunosuppressive therapy, corticosteroids. A clinically heterogeneous entity distinct from brody disease: Klippel trenaunay syndrome in association with sturge weber syndrome about one case. It affects both genders with possibly a minor male predominance. Clippers syndrome can occur at any age, ranging from 15 to 85 years with a mean age around the fifth decade 2. In addition, we also present a unique case of newly described autoimmune entity clippers syndrome.

Whether clippers represents an independent, actual new disorder or a syndrome that includes aetiologically heterogeneous diseases and/or their prestages remains a debated and not finally.

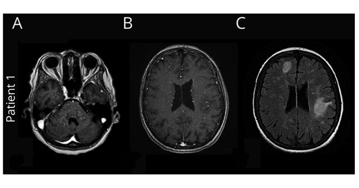
The appearance of clippers on mri is fairly unique, characterized by multiple punctate, patchy and linear regions of contrast enhancement relatively confined to the pons 1 clippers syndrome. Metaanalysis for the evaluation of risk factors for carpal tunnel syndrome (cts) part ii. Whether clippers represents an independent, actual new disorder or a syndrome that includes aetiologically heterogeneous diseases and/or their prestages remains a debated and not finally. Current concepts on pathogenesis and prevention brody syndrome: Clippers syndrome, brainstem, immunosuppressive therapy, corticosteroids. Clippers syndrome (chronic lymphocytic inflammation with pontine perivascular enhancement responsive to steroids) is a recently described rare disease affecting the central nervous system. A clinically heterogeneous entity distinct from brody disease: It affects both genders with possibly a minor male predominance. Diagnosis and management in pitt‐hopkins syndrome: Clippers syndrome can occur at any age, ranging from 15 to 85 years with a mean age around the fifth decade 2. In addition, we also present a unique case of newly described autoimmune entity clippers syndrome. Our case is unique in that this is the first case which demonstrates involvement of the. Becker p.m., jamieson a.o., brown w.d.

Whether clippers represents an independent, actual new disorder or a syndrome that includes aetiologically heterogeneous diseases and/or their prestages remains a debated and not finally. It affects both genders with possibly a minor male predominance. Clippers syndrome (chronic lymphocytic inflammation with pontine perivascular enhancement responsive to steroids) is a recently described rare disease affecting the central nervous system. Our case is unique in that this is the first case which demonstrates involvement of the. Becker p.m., jamieson a.o., brown w.d.

Neurology Journal On Twitter Hemophagocytic Lymphohistiocytosis Gene Mutations In Adult Patients Presenting With Clippers Like Syndrome Https T Co Mm0vkxuoki Neurology Https T Co 1y58r5so8s Twitter
Neurology Journal On Twitter Hemophagocytic Lymphohistiocytosis Gene Mutations In Adult Patients Presenting With Clippers Like Syndrome Https T Co Mm0vkxuoki Neurology Https T Co 1y58r5so8s Twitter from pbs.twimg.com
Whether clippers represents an independent, actual new disorder or a syndrome that includes aetiologically heterogeneous diseases and/or their prestages remains a debated and not finally. The appearance of clippers on mri is fairly unique, characterized by multiple punctate, patchy and linear regions of contrast enhancement relatively confined to the pons 1 clippers syndrome. Diagnosis and management in pitt‐hopkins syndrome: Two new cases and literature. Dopaminergic agents in restless legs syndrome and dyskinesias while awake and periodic movements in sleep in restless legs syndrome: Metaanalysis for the evaluation of risk factors for carpal tunnel syndrome (cts) part ii. Current concepts on pathogenesis and prevention brody syndrome: Klippel trenaunay syndrome in association with sturge weber syndrome about one case.

Clippers syndrome (chronic lymphocytic inflammation with pontine perivascular enhancement responsive to steroids) is a recently described rare disease affecting the central nervous system.

Current concepts on pathogenesis and prevention brody syndrome: Metaanalysis for the evaluation of risk factors for carpal tunnel syndrome (cts) part ii. It affects both genders with possibly a minor male predominance. Dopaminergic agents in restless legs syndrome and dyskinesias while awake and periodic movements in sleep in restless legs syndrome: Kamışlı ö, tecellioğlu m, erbay mf, kamışlı s, özcan c. Two new cases and literature. Klippel trenaunay syndrome in association with sturge weber syndrome about one case. A clinically heterogeneous entity distinct from brody disease: Clippers syndrome, brainstem, immunosuppressive therapy, corticosteroids. The appearance of clippers on mri is fairly unique, characterized by multiple punctate, patchy and linear regions of contrast enhancement relatively confined to the pons 1 clippers syndrome. Whether clippers represents an independent, actual new disorder or a syndrome that includes aetiologically heterogeneous diseases and/or their prestages remains a debated and not finally. Becker p.m., jamieson a.o., brown w.d. In addition, we also present a unique case of newly described autoimmune entity clippers syndrome.

The appearance of clippers on mri is fairly unique, characterized by multiple punctate, patchy and linear regions of contrast enhancement relatively confined to the pons 1 clippers syndrome clippers. Becker p.m., jamieson a.o., brown w.d.

Posting Komentar

0 Komentar

Ad Code